
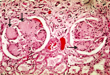
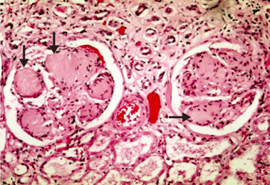
A macrovascular complication of diabetes, diabetic nephropathy is progressive, chronic kidney disease seen in patients with both type 1 and type 2 diabetes mellitus, usually after at least 10 years of hyperglycemia (high blood glucose levels). The three
Get AI-powered summaries and transcripts for any meeting, phone call, or podcast.
Available on iOS, Android, Mac, and Windows
Want AI summaries for your own recordings? Try Wave AI free →
No transcript available.