
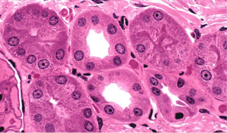
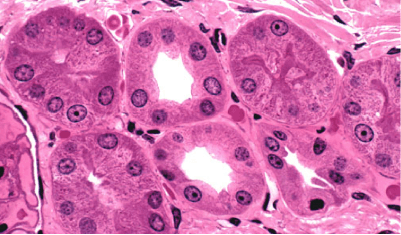
Epithelium is one of the four basic tissue types (the other three are muscle tissue, nerve tissue, and connective tissue). It is found throughout the body—covering it; lining organs, vessels, and cavities; and forming glands. It absorbs nutrients, transp
Get AI-powered summaries and transcripts for any meeting, phone call, or podcast.
Available on iOS, Android, Mac, and Windows
Want AI summaries for your own recordings? Try Wave AI free →
No transcript available.